Κίνα: Γυναίκα με δυο μήτρες γέννησε δίδυμα

ΔΙΑΒΑΣΤΕ ΑΚΟΜΗ

  • Γυναίκα στην Κίνα γέννησε δίδυμα από δύο μήτρες, ένα αγόρι και ένα κορίτσι με καισαρική τομή.
  • Η νέα μητέρα γεννήθηκε με δύο τραχήλους και δύο μήτρες, σε μια σπάνια κατάσταση που ονομάζεται δίδελφυς μήτρα.
  • Η ιστορία έγινε viral στα κινεζικά μέσα κοινωνικής δικτύωσης, με περισσότερες από 50 εκατομμύρια προβολές, και η γυναίκα γέννησε επιτυχώς ένα αγόρι και ένα κορίτσι.

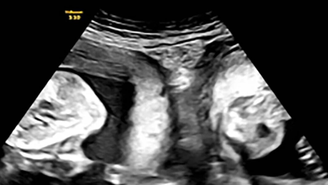
Μια γυναίκα με δύο μήτρες γέννησε δίδυμα, ένα από κάθε μήτρα, τον περασμένο μήνα σε νοσοκομείο της βορειοδυτικής Κίνας, σύμφωνα με αξιωματούχους του τομέα της υγείας και κρατικά μέσα ενημέρωσης. Η Li γέννησε ένα αγόρι και ένα κορίτσι με καισαρική τομή, όπως ανακοίνωσε το Λαϊκό Νοσοκομείο Xi’an στην επαρχία Shaanxi, κάνοντας λόγο για ένα περιστατικό που συμβαίνει «μια φορά στο εκατομμύριο».

«Είναι εξαιρετικά σπάνιο να συλληφθούν δίδυμα με φυσικό τρόπο σε κάθε κοιλότητα της μήτρας και ακόμη πιο σπάνιο να κυοφορηθούν μέχρι τέλους», ανέφερε το νοσοκομείο στον επίσημο λογαριασμό του στην κινεζική πλατφόρμα κοινωνικής δικτύωσης Weibo στις 18 Σεπτεμβρίου. Σύμφωνα με το νοσοκομείο, η νέα μητέρα γεννήθηκε με δύο τραχήλους και δύο μήτρες, μια κατάσταση που ονομάζεται δίδελφυς μήτρα και απαντάται σε περίπου 1 στις 2.000 γυναίκες.

Η ιστορία της έγινε viral στα κινεζικά μέσα κοινωνικής δικτύωσης, με περισσότερες από 50 εκατομμύρια προβολές τις τελευταίες ημέρες. Το νοσοκομείο αποκάλυψε επίσης ότι η νεαρή μητέρα είχε μείνει έγκυος άλλη μια φορά αλλά είχε αποβάλλει. Τον Ιανουάριο, όμως, η Li έμεινε ξανά έγκυος και ανακάλυψε κατά τη διάρκεια ενός υπερηχογραφήματος ότι κυοφορούσε δίδυμα – ένα σε κάθε μήτρα.

Μετά από «στενή και αυστηρή» ιατρική παρακολούθηση, η γυναίκα γέννησε με «επιτυχία» ένα αγόρι βάρους 3,7 κιλών και ένα κορίτσι βάρους 3,1 κιλών, σύμφωνα με το νοσοκομείο.

ΠΗΓΗ: CNN

Διαβάστε επίσης:

Το Facebook ζητά τώρα selfie

Το Facebook, στη ειδική ενότητα που έχει ανεβάσει στην...

Απαραίτητη η ανανέωση δεδομένων στην Πειραιώς από 1/1/2026!

Με την αλλαγή του χρόνου εντοπίσαμε ειδοποίηση για επικαιροποίηση...

Ανακάλυψη νέου σπηλαίου στον Άρη μπορεί να αποκαλύψει ίχνη αρχαίας ζωής και να διευκολύνει την εγκατάστασή μας...

Για πρώτη φορά οι πλανητικοί επιστήμονες εντοπίζουν καρστικά σπήλαια...

Η Google στο στόχαστρο αγωγής για απόκρυφες ρυθμίσεις AI στο Gmail

Από ότι φαίνεται, η Google τροφοδοτεί τα προσωπικά μας...
Δείτε όλες τις τελευταίες Ειδήσεις από την Ελλάδα και τον Κόσμο, τη στιγμή που συμβαίνουν, στο ΔΕΔΟΜΕΝΟ.

ΑΚΟΛΟΥΘΗΣΤΕ ΜΑΣ

ΑΦΗΣΤΕ ΤΟ ΣΧΟΛΙΟ ΣΑΣ

εισάγετε το σχόλιό σας!
παρακαλώ εισάγετε το όνομά σας εδώ

Το Facebook ζητά τώρα selfie

Το Facebook, στη ειδική ενότητα που έχει ανεβάσει στην επίσημη σελίδα υποστήριξης, εξηγεί ότι χρησιμοποιεί την τεχνολογία αναγνώρισης προσώπου σε μια προσπάθεια να επιβεβαιώσει...

Απαραίτητη η ανανέωση δεδομένων στην Πειραιώς από 1/1/2026!

Με την αλλαγή του χρόνου εντοπίσαμε ειδοποίηση για επικαιροποίηση στοιχείων στην Τράπεζα Πειραιώς, κατά τη διάρκεια πραγματοποίησης συναλλαγής σε ATM,  ενώ σχετική ειδοποίηση υπάρχει...

Ανακάλυψη νέου σπηλαίου στον Άρη μπορεί να αποκαλύψει ίχνη αρχαίας ζωής και να διευκολύνει την εγκατάστασή μας εκεί

Για πρώτη φορά οι πλανητικοί επιστήμονες εντοπίζουν καρστικά σπήλαια στον Άρη. Πρόκειται για σπήλαια που έχουμε και στη Γη και δημιουργούνται όταν ελαφρώς όξινο...

Η Google στο στόχαστρο αγωγής για απόκρυφες ρυθμίσεις AI στο Gmail

Από ότι φαίνεται, η Google τροφοδοτεί τα προσωπικά μας δεδομένα από τα email μας και τις επικοινωνίες μας, στην εκπαίδευση των συστημάτων τεχνητής νοημοσύνης...

Όταν η AI καταστρέφει ζωές – Μουσικός έφαγε cancel μετά από ψεύδη του ΑΙ Overviews

Οι εταιρείες τεχνητής νοημοσύνης προσπαθούν να μας πείσουν πως τα αποτελέσματά τους είναι αξιόπιστα και πως θα μας δίνουν όλες τις πληροφορίες που θέλουμε...

Καινοτόμο παιχνίδι εκγυμνάζει τον εγκέφαλο για να καταπολεμά τον χρόνιο πόνο

Ένα διαδραστικό παιχνίδι που εκπαιδεύει τον εγκέφαλο να ρυθμίζει τα σήματα του πόνου προσφέρει νέα ελπίδα στην αντιμετώπιση του χρόνιου πόνου χωρίς φάρμακα. Η...

Απομάκρυνση επικίνδυνων ναυαγίων από το θαλάσσιο μέτωπο της Ελευσίνας

Ο Οργανισμός Λιμένος Ελευσίνας (Ο.Λ.Ε.) προχωρά στην απομάκρυνση επιβλαβών πλοίων από τη θαλάσσια περιοχή της Ελευσίνας, με στόχο την προστασία του θαλάσσιου περιβάλλοντος και...

Η κόντρα Τραμπ-Μασκ πυροδοτεί ανησυχίες για περικοπές στη χρηματοδότηση της NASA

Η διαμάχη μεταξύ του Ντόναλντ Τραμπ και του Ίλον Μασκ προκαλεί ανησυχία για τις περικοπές στον προϋπολογισμό της NASA, ο οποίος προτείνει μείωση σχεδόν...

HΕLMEPA: Σώστε θάλασσες, ακτές, πάρκα και δάση από τον εφιάλτη των πλαστικών

Η Ελληνική Ένωση Προστασίας Θαλασσίου Περιβάλλοντος (HELMEPA) συμμετέχει φέτος στην εκστρατεία «Ας καθαρίσουμε την Ευρώπη 2025», καλώντας όλους, από μαθητές έως οργανισμούς, να συμμετάσχουν...

Αλτσχάιμερ: Επαναστατική εξέταση αίματος αποκαλύπτει πρώιμα σημάδια της νόσου

Μια νέα εξέταση αίματος που αναπτύχθηκε από επιστήμονες της Mayo Clinic στις ΗΠΑ μπορεί να εντοπίσει πρώιμα συμπτώματα του Αλτσχάιμερ με ακρίβεια 95%, σύμφωνα...

// ΡΟΗ ΕΙΔΗΣΕΩΝ

Όλυμπος: Εντοπίστηκε νεκρός ο Ισπανός ορειβάτης που είχε χαθεί

Μαύρη αυλαία έπεσε στο μυστήριο εξαφάνισης του Ισπανού ορειβάτη...

Απίστευτο στις ΗΠΑ: 28χρονη προσποιήθηκε τη 16χρονη μαθήτρια σε λύκειο της Νέας Υόρκης!

Μια 28χρονη γυναίκα προσποιήθηκε την μαθήτρια σε λύκειο της...

Το μυστικό για επικές φωτογραφίες με το κινητό που χρησιμοποιούν οι pros

Θες φωτογραφίες που κάνουν like και share χωρίς να...

Οργισμένος ο Νίκος Οικονομόπουλος: Αντέδρασε σε δημοσιογράφο – Ποια ερώτηση τον εξόργισε (Βίντεο)

O Νίκος Οικονομόπουλος ως φανατικός Ολυμπιακός παρευρέθηκε εχθές, Κυριακή...

Σοφία Ζαχαράκη: «Το δημογραφικό αποτυπώνεται πλέον καθαρά και στα σχολεία»

Τις άμεσες επιπτώσεις της δημογραφικής κρίσης στο εκπαιδευτικό σύστημα...

Χρηματιστήρια: Δυναμική άνοδος, καθώς οι επενδυτές αναμένουν θετική έκβαση στις συνομιλίες ΗΠΑ-Ιράν

Έντονα ανοδικές τάσεις επικρατούν στις χρηματιστηριακές αγορές, με τις...

Νόβακ Τζόκοβιτς για την Euroleague του Ολυμπιακού: «Μπράβο στα αδέρφια μας από τον Πειραιά, το κέρδισαν»

Ο μπασκετικός Ολυμπιακός και οι παίκτες του δέχονται από...

Ρόδος: Σύλληψη παππού, πατριού και ιδιοκτήτριας καταστήματος επειδή έδωσαν μπύρα σε 14χρονο

Στη σύλληψη τριών ατόμων προχώρησαν το βράδυ του Σαββάτου...

Δε θέλει να κοιμηθεί μόνο του; Τα 7 κόλπα που θα αλλάξουν τις νύχτες σας

Κουράστηκες να μένεις δίπλα στο παιδί μέχρι να κοιμηθεί;...

Γωγώ Μαστροκώστα: Η εξομολόγηση του Καραγιάννη για τις τελευταίες της ώρες – «Ίσως να μη μιλούσε αλλά…»

Την Τετάρτη 27/5 θα πραγματοποιηθεί η κηδεία της Γωγώς...

Πλεύρης: Το καλοκαίρι δεν θα υπάρξει ζήτημα όσες ροές και αν εμφανιστούν – Προχωρούν οι χώροι διαχείρισης,...

Στα περσινά επίπεδα κινούνται οι μεταναστευτικές ροές προς την...

Δόμνα Μιχαηλίδου: «Το δημογραφικό είναι μαραθώνιος που πρέπει να τρέξουμε με ρυθμό σπριντ»

Την ανάγκη για συνεχή, συντονισμένη και μακροπρόθεσμη πολιτική απέναντι...

Αναπτύχθηκαν κοτοπουλάκια… από πλήρως συνθετικά αυγά! ΒΙΝΤΕΟ

Η Colossal Biosciences, η οποία αυτοαποκαλείται «η πρώτη εταιρεία...

ΟΠΕΚΕΠΕ: Νέα καταδίκη για παράνομες αγροτικές επιδοτήσεις στη Βόρεια Ελλάδα – Ένοχοι 13 κατηγορούμενοι

Ένοχοι για απάτη σχετικά με επιχορηγήσεις σε βάρος της...

Πανελλήνιες 2026: Δωρεάν γραμμή βοήθειας για υποψήφιους μαθητές

Στην τελική ευθεία έχουν μπει οι μαθητές της Γ’...

Τραϊανός Δέλλας: Διπλό πλήγμα μετά την απώλεια της Γωγώς Μαστροκώστα – Έχασε τον «αδελφό» του την ίδια...

Ασύλληπτο πένθος έχει προκαλέσει ο πρόωρος και άδικος χαμός...

Ολυμπιακός: Εντυπωσιακές εικόνες drone από την ερυθρόλευκη λαοθάλασσα της φιέστας για την κατάκτηση της Euroleague

Μια ονειρική πορεία στη φετινή Euroleague, ολοκληρώθηκε με τον...

Η Ιαπωνία πλήττεται από εκτεταμένες αλλεργίες και ένα έργο του 1950…είναι η αιτία!

Μια απόφαση που ελήφθη πριν από 70 χρόνια για...

Νίκος Χαρδαλιάς: «Το δημογραφικό απαιτεί εθνική στρατηγική με διάρκεια και αλλαγή νοοτροπίας»

Τη δημογραφική κρίση ως τη μεγαλύτερη μακροπρόθεσμη πρόκληση για...

Δημοσιογράφος απολύθηκε λόγω δύσκολων ερωτήσεων στον Αλέξη Τσίπρα – Καταγγελίες από Κοτζιά και Κασσελάκη

Ο Στέφανος Κασσελάκης, πρώην πρόεδρος του ΣΥΡΙΖΑ, ανέβασε ένα...

Αλέξανδρος Γιωτόπουλος: Έφεση για την αποφυλάκισή του από τον αντεισαγγελέα του Αρείου Πάγου

Το ποινικό τμήμα του Αρείου Πάγου θα αποφασίσει αν...

Ιράν: Τα πυρηνικά στο τραπέζι μόνο μετά το «μνημόνιο συνεννόησης» με τις ΗΠΑ – Προειδοποιήσεις για σαμποτάζ...

Σε διευκρινίσεις σχετικά με το ακριβές χρονοδιάγραμμα των διαπραγματεύσεων...

Κατέφθασαν τα Flapper Drones…με φτερά σαν λιβελούλα! ΒΙΝΤΕΟ

Τα Flapper Drones χρησιμοποιούν τέσσερα μαλακά φτερά τύπου λιβελούλας...

Ολυμπιακός: Οι πανηγυρισμοί των παρουσιαστών για την ερυθρόλευκη Euroleague και το πείραγμα στους Παναθηναϊκούς

Το τέταρτο ευρωπαϊκό στην ιστορία του Ολυμπιακού έγινει θέμα...

Κυριάκος Μητσοτάκης στο «Δημογραφικό 2026»: Στέγη, εργασία και περιφέρεια στο επίκεντρο της εθνικής στρατηγικής

Το δημογραφικό αποτελεί μία από τις μεγαλύτερες μακροπρόθεσμες προκλήσεις...

Γωγώ Μαστροκώστα: Η συγκινητική ανάρτηση του Τραϊανού Δέλλα λίγες ώρες μετά τον θάνατό της – Ραγίζουν καρδιές...

Πολύ δύσκολες ώρες περνάει ο Τραϊανός Δέλλας, καθώς αποχαιρέτησε...

Ατύχημα στην Πάτρα: Ηλικιωμένος οδηγός χτύπησε ανήλικο – Στο νοσοκομείο με ελαφρά τραύματα

Ένα σοβαρό τροχαίο σημειώθηκε το πρωί της Δευτέρας (25/5/2026)...

Πληρώνεις πολλές συνδρομές; Το κόλπο που θα μειώσει τον λογαριασμό σου στο μισό

Πόσες streaming υπηρεσίες έχεις αυτή τη στιγμή; 3, 5,...

Ολυμπιακός: Η πιο όμορφη «καλημέρα» με το κύπελλο της Euroleague – Η αποθέωση από τον Έντι Τζόνσον

Η επόμενη ημέρα της κατάκτησης της EuroLeague βρίσκει τον...

Το μυστικό που κάνει το παλιό σου κινητό να πετάει χωρίς να το αλλάξεις

Έχεις ένα κινητό που πλέον «κολλάει», η μπαταρία δεν...

Δημογραφικό 2026: Η μακροπρόθεσμη δέσμευση για το δημογραφικό στο επίκεντρο της παρέμβασης Καραβία

Την ανάγκη για μια συνεχή, μακροπρόθεσμη και ολιστική στρατηγική...

Δημογραφικό 2026: «Εθνική απειλή η πληθυσμιακή συρρίκνωση» – Το μήνυμα του Νίκου Χατζηνικολάου από το βήμα του...

Με έμφαση στην ανάγκη διαμόρφωσης μιας κοινής εθνικής στρατηγικής...

Ποιο ελληνικό νησί κατακτά τον χάρτη των Ευρωπαίων τουριστών

Στο επίκεντρο του ενδιαφέροντος γερμανικών και αυστριακών μέσων ενημέρωσης...

Παρασκευάς Άντζας: Οδύνη στον Ολυμπιακό για την απώλεια του παλαίμαχου αμυντικού

Ο Παρασκευάς Άντζας “έφυγε” από τη ζωή σε ηλικία...
spot_img

// ΔΗΜΟΦΙΛΗ

Γωγώ Μαστροκώστα: Ο πρώην της, Απόστολος Γκλέτσος, την αποχαιρετά με συγκινητικές φράσεις

Ένας αρραβώνας που έχει ξεχαστεί από τα media είναι...

Κατέστρεψαν το άγαλμα του Καβάφη στη Διονυσίου Αρεοπαγίτου: Δείτε εικόνα

Ένα περιστατικό που έχει προκαλέσει έντονη συζήτηση σημειώθηκε τις...

Σάλος με Λιάγκα και Κουτσελίνη: Υπέστησαν μεγάλο πρόστιμο από το ΕΣΡ για αυτό το ζήτημα

Σοβαρές εξελίξεις φέρνει η απόφαση του ΕΣΡ, ενάμιση χρόνο...
spot_img

Η γενιά του Covid-19: Το ανεξίτηλο στίγμα της πανδημίας στους νέους

Η πανδημία του Covid-19 έχει αφήσει βαθιά σημάδια στην ψυχική και σωματική ανάπτυξη των παιδιών, με σημαντικές επιπτώσεις που ενδέχεται να διαρκέσουν για χρόνια....

Τι θα γίνει εάν εξαλείψουμε τα κουνούπια από τον πλανήτη;

Οι επιστήμονες έχουν βρει τρόπους να εξαφανίσουν από τον πλανήτη μας τα κουνούπια που μεταφέρουν θανατηφόρες ασθένειες. Θα έπρεπε όμως να το κάνουν;...

Σύστημα σάρωσης ποδιών εντοπίζει έγκαιρα σημάδια καρδιακής ανεπάρκειας

Ένα καινοτόμο σύστημα σάρωσης που αξιοποιεί την τεχνητή νοημοσύνη εντοπίζει πρώιμα προειδοποιητικά σημάδια καρδιακής ανεπάρκειας και μπορεί να χρησιμοποιηθεί στο σπίτι, βοηθώντας τους...

Πρωτοποριακή τεχνολογία AI εντοπίζει πάνω από 170 μορφές καρκίνου

Ερευνητές στη Γερμανία ανέπτυξαν ένα καινοτόμο μοντέλο τεχνητής νοημοσύνης, γνωστό ως crossNN, που επιτρέπει την ακριβή διάγνωση πάνω από 170 τύπων καρκίνου, χρησιμοποιώντας το...

«Πύλη της Κολάσεως»: Σβήνει επιτέλους η φλεγόμενη άβυσσος που μαίνεται εδώ και 50 χρόνια

Η «Πύλη της Κολάσεως», ο Κρατήρας Νταρβάζα στο Τουρκμενιστάν, που καίει ασταμάτητα εδώ και 50 χρόνια, αρχίζει να σβήνει. Η φωτιά ξεκίνησε το 1971...

Φάρμακα αδυνατίσματος αυξάνουν δραματικά τον κίνδυνο οφθαλμικών επιπλοκών σε διαβητικούς

Μια νέα μελέτη που δημοσιεύθηκε στην επιθεώρηση «JAMA Ophthalmology» αποκαλύπτει ότι τα φάρμακα απώλειας βάρους τύπου GLP-1 RA, τα οποία χρησιμοποιούνται κυρίως για τη...

ΕΛΙΝΥΑΕ: Κρίσιμες συμβουλές για την προστασία εργαζομένων από καύσωνα

Το Ελληνικό Ινστιτούτο Υγείας και Ασφάλειας στην Εργασία (ΕΛΙΝΥΑΕ) εξέδωσε οδηγίες για την πρόληψη της θερμικής καταπόνησης των εργαζομένων, τονίζοντας τον κίνδυνο που αντιμετωπίζουν...

Συμμαχία δήμου Αχαρνών και Συνδέσμου Πάρνηθας για τη διάσωση του σπάνιου κόκκινου ελαφιού

Ο δήμος Αχαρνών και ο Σύνδεσμος Πάρνηθας συνεργάζονται για την προστασία του κόκκινου ελαφιού, του οποίου ο πληθυσμός έχει μειωθεί δραματικά από 1.300 το...

Στη Χαβάη, το συντριπτικό 91% των πλαστικών κρύβεται αόρατο μέσα στην άμμο

Στις παραλίες της Χαβάης, το 91% των πλαστικών απορριμμάτων είναι θαμμένα στην άμμο, σύμφωνα με νέα διεθνή επιστημονική έρευνα. Τα περισσότερα από αυτά, το...

Έλλειψη ύπνου: Νέα μελέτη αποκαλύπτει τι πραγματικά προκαλεί στον εγκέφαλο

Η πολύωρη αϋπνία δεν επηρεάζει μόνο τη διάθεσή μας: ο εγκέφαλός μας επίσης υποφέρει άμεσα, αναφέρει σε άρθρο της στο Psychologies.com, η Isabelle...

Νέος ιός που εντοπίστηκε στην Κίνα θα μπορούσε να προκαλέσει την πανδημία, προειδοποιούν επιστήμονες

Ένας νέος επικίνδυνος κορονοϊός που εντοπίστηκε στην Κίνα θα μπορούσε να προκαλέσει την επόμενη πανδημία, προειδοποιούν Αμερικανοί επιστήμονες. Επισημαίνουν δε, ότι ο ιός...

Χ. Ζερεφός στο Πρώτο για κλιματική κρίση: Την παγκόσμια κοινότητα θα αφυπνίσουν οι πράσινες θέσεις εργασίας και το δυσθεώρητο...

Ο Χρήστος Ζερεφός, γενικός γραμματέας της Ακαδημίας Αθηνών, αναλύει την κλιματική κρίση και την ανάγκη για παγκόσμια αφύπνιση, με αφορμή την Παγκόσμια Ημέρα Περιβάλλοντος....

Η YourArt και η Artmajeur συμμαχούν μετατρέποντας το ΑΙ σε υπερδύναμη των καλλιτεχνών

Η ArtMajeur και η YourArt συγχωνεύονται και δημιουργούν την πλατφόρμα ArtMajeur by YourArt, που στοχεύει να γίνει ο κορυφαίος προορισμός για καλλιτέχνες και λάτρεις...