- Γυναίκα στην Κίνα γέννησε δίδυμα από δύο μήτρες, ένα αγόρι και ένα κορίτσι με καισαρική τομή.
- Η νέα μητέρα γεννήθηκε με δύο τραχήλους και δύο μήτρες, σε μια σπάνια κατάσταση που ονομάζεται δίδελφυς μήτρα.
- Η ιστορία έγινε viral στα κινεζικά μέσα κοινωνικής δικτύωσης, με περισσότερες από 50 εκατομμύρια προβολές, και η γυναίκα γέννησε επιτυχώς ένα αγόρι και ένα κορίτσι.
Μια γυναίκα με δύο μήτρες γέννησε δίδυμα, ένα από κάθε μήτρα, τον περασμένο μήνα σε νοσοκομείο της βορειοδυτικής Κίνας, σύμφωνα με αξιωματούχους του τομέα της υγείας και κρατικά μέσα ενημέρωσης. Η Li γέννησε ένα αγόρι και ένα κορίτσι με καισαρική τομή, όπως ανακοίνωσε το Λαϊκό Νοσοκομείο Xi’an στην επαρχία Shaanxi, κάνοντας λόγο για ένα περιστατικό που συμβαίνει «μια φορά στο εκατομμύριο».
«Είναι εξαιρετικά σπάνιο να συλληφθούν δίδυμα με φυσικό τρόπο σε κάθε κοιλότητα της μήτρας και ακόμη πιο σπάνιο να κυοφορηθούν μέχρι τέλους», ανέφερε το νοσοκομείο στον επίσημο λογαριασμό του στην κινεζική πλατφόρμα κοινωνικής δικτύωσης Weibo στις 18 Σεπτεμβρίου. Σύμφωνα με το νοσοκομείο, η νέα μητέρα γεννήθηκε με δύο τραχήλους και δύο μήτρες, μια κατάσταση που ονομάζεται δίδελφυς μήτρα και απαντάται σε περίπου 1 στις 2.000 γυναίκες.
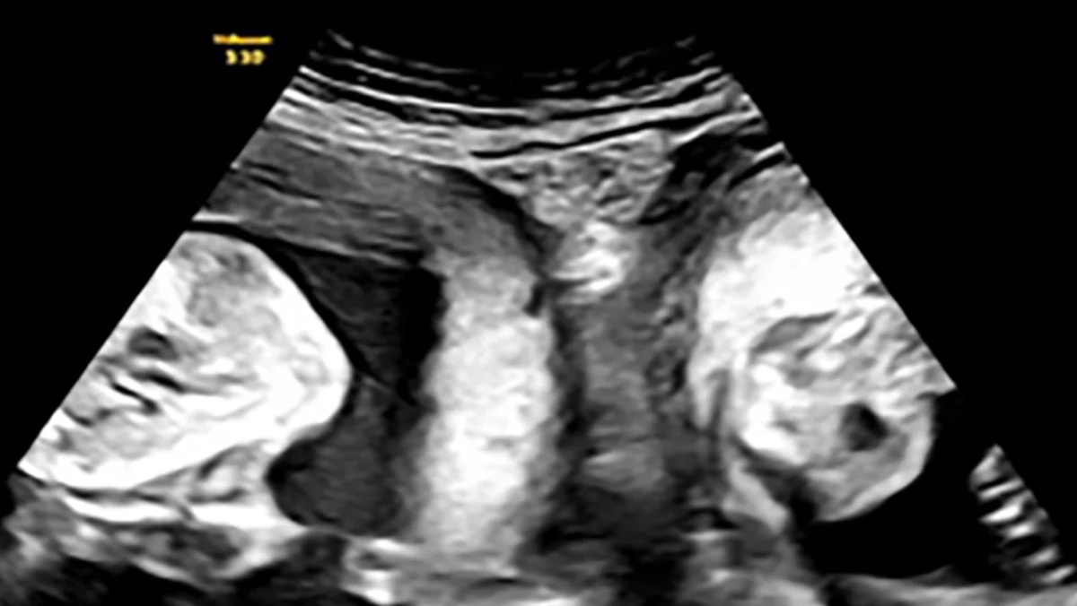
Η ιστορία της έγινε viral στα κινεζικά μέσα κοινωνικής δικτύωσης, με περισσότερες από 50 εκατομμύρια προβολές τις τελευταίες ημέρες. Το νοσοκομείο αποκάλυψε επίσης ότι η νεαρή μητέρα είχε μείνει έγκυος άλλη μια φορά αλλά είχε αποβάλλει. Τον Ιανουάριο, όμως, η Li έμεινε ξανά έγκυος και ανακάλυψε κατά τη διάρκεια ενός υπερηχογραφήματος ότι κυοφορούσε δίδυμα – ένα σε κάθε μήτρα.
Μετά από «στενή και αυστηρή» ιατρική παρακολούθηση, η γυναίκα γέννησε με «επιτυχία» ένα αγόρι βάρους 3,7 κιλών και ένα κορίτσι βάρους 3,1 κιλών, σύμφωνα με το νοσοκομείο.
ΠΗΓΗ: CNN





